重要なお知らせ | 2024年7月22日 CanonのデジタルX線テレビシステムPlessartZEROを新たに導入しました。

診察案内

院長ご挨拶

当院について

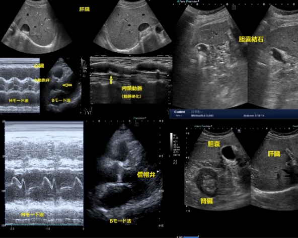
CT・内視鏡・X線・心電図・エコーなどを備え、脳・呼吸器・消化器・循環器・整形まで幅広い疾患の診断・検査が可能です。

完結型施設在宅医療介護係

外来感染対策向上加算に関するご案内

生活習慣病の治療を受けてる皆様へ

適切な意思決定支援に関する指針

後発医薬品の使用を積極的に推進しています

お知らせ

加算に関わる掲示

届出

診療受付

〒839-0801 福岡県久留米市宮ノ陣4丁目4-7

当院は予約制です
0942-30-2030
診療時間
9:00~12:30
14:00~17:30
14:00~16:30
休診日:木午後・日祝

西鉄・宮の陣駅より徒歩6分
改札を出られて、線路沿い(県道88号線)を小郡方面へ向かって進んでください。

完結型施設在宅医療介護係

外来感染対策向上加算に関するご案内

生活習慣病の治療を受けてる皆様へ

適切な意思決定支援に関する指針

後発医薬品の使用を積極的に推進しています

お知らせ

加算に関わる掲示

届出

診療受付

〒839-0801 福岡県久留米市宮ノ陣4丁目4-7

当院は予約制です
0942-30-2030
診療
時間
9:00~12:30
14:00~17:30
14:00~16:30
休診日:木午後・日祝

西鉄・宮の陣駅より徒歩6分
改札を出られて、線路沿い(県道88号線)を小郡方面へ向かって進んでください。